Khi giao tiếp chắc hẳn bạn đã gặp không ít người bị hô, vẩu, móm,… Thậm chí chính bản thân cũng có một hàm răng chưa thực sự hoàn hảo. Đây là điển hình của sai lệch khớp cắn. Nhưng sai lệch khớp cắn là thế nào? Khớp cắn chuẩn là thế nào? Dựa vào những tiêu chí ra sao. Dưới đây các chuyên gia sẽ giải thích cụ thể từng trường hợp nhé.
Mục lục
Nhận biết khớp cắn chuẩn chính xác nhất

Khớp cắn chuẩn được đánh giá dựa vào 2 tiêu chí là: sự tương quan giữa răng hàm trên – hàm dưới và sự đối xứng giữa răng – xương hàm. Khi khép miệng, bạn sẽ thấy phần hàm trên bao phủ vòm hàm dưới ở mức độ vừa phải. Má và môi không bị kích, lưỡi cũng không bị cắn phải.
Sở hữu một khớp cắn chuẩn không chỉ mang lại tính thẩm mỹ cao mà còn giúp quá trình ăn nhai dễ dàng hơn. Nếu chưa hiểu rõ cụ thể khớp cắn chuẩn là gì thì tìm hiểu thông tin dưới đây nhé.
Khớp cắn chuẩn hài hoà với toàn bộ khuôn mặt
Khớp cắn chuẩn chứa đựng tỷ lệ hợp lý, được xây dựng với sự tương quan của các bộ phận như mắt, mũi, má, trán,… Nếu một người có khớp cắn chuẩn, bạn sẽ thấy sự cân đối trên khuôn mặt, tạo cảm giác ưa nhìn dù nhìn thẳng hay ở góc nghiêng.
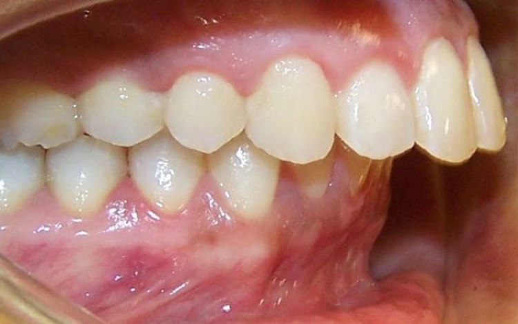
Khớp cắn chuẩn có 2 hàm răng khít vào nhau

Theo nghiên cứu của chuyên gia, khớp cắn chuẩn giúp bạn ăn nhai tốt hơn so với những người không đạt được điều này. Nguyên nhân là bởi hai hàm răng có thể cắn khít với nhau, tạo ra lực nhai tương đối khoẻ và bền chắc. Những biểu hiện dựa theo 2 nhóm răng sau:
– Nhóm răng cửa: Gồm 2 răng nanh và 4 răng cửa của hàm trên sẽ trùm ra bên ngoài của 4 răng đối xứng tại hàm dưới với tỷ lệ chuẩn xác. Khi đó, răng cửa hàm dưới tiếp xúc khoảng 2/3 so với thân răng cửa hàm trên ở trạng thái bình thường.
– Nhóm răng hàm: Khi cắn, răng hàm số 4,5,6,7 sẽ tiếp xúc nhau ở mặt nhai, cắn khít với nhau mà không bị kênh cộm. Như vậy mỗi chiếc răng đối xứng với răng ở vị trí tương tự của hàm kia mà không lệch lạc.
Khớp cắn chuẩn có trục đối xứng chuẩn
Để đánh giá một người có đạt khớp cắn chuẩn hay không cũng rất đơn giản. Bạn sử dụng 1 đường thẳng dọc chia khuôn mặt thành 2 phần. Nếu đường thẳng này thẳng tắp, chia đều trán, mũi, khuôn miệng, hàm răng, cằm thành 2 phần bằng nhau, không lệch trái hoặc lệch phải thì đó là khớp cắn chuẩn.
Bên cạnh đó, đường thằng này cũng phải thoả mãn là trùng với vị trí kẽ răng nằm giữa 2 răng cửa của hàm trên và 2 chiếc răng cửa hàm dưới.
Khớp cắn chuẩn có gương mặt đạt tỷ lệ vàng
Một khuôn mặt được đánh giá tỷ lệ vàng với khớp cắn đạt chuẩn khi được chia thành 3 phần bằng nhau bao gồm:
- Từ chân tóc đến đầu mũi.
- Từ đầu mũi đến gốc mũi.
- Từ gốc mũi di chuyển đến hết cằm.
Để nhận biết khuôn mặt có khớp cắn chuẩn không bạn quan sát xem gương mặt thon dần đi về phía cằm, xương hàm không bị thô kệch. Khi cười cũng không méo, lệch lạc mà giữ được sự hài hoà, cân đối.
Để biết chính xác khớp cắn của mình chuẩn chưa và nếu bị lệch thì nằm trong dạng nào, bạn hãy đến địa chỉ nha khoa uy tín sẽ được bác sĩ kiểm tra cho chính xác nhé.
Phân tích các dạng sai lệch khớp cắn
Có một sự thật là không phải ai cũng may mắn sở hữu một khớp cắn chuẩn. Do nhiều nguyên nhân khác nhau mà khớp cắn ngày càng bị lệch lạc ảnh hưởng không nhỏ đến thẩm mỹ cũng như khả năng ăn nhai. Dưới đây là các dạng sai lệch khớp cắn điển hình.
Khớp cắn dạng hô vẩu

Bị sai lệch khớp cắn dạng hô vẩu rất dễ nhận ra. Đó là mũi gãy, miệng nhọn, hàm trên dô ra phía trước, môi trề và căng. Nhóm răng trước hàm trên che khuất hoàn toàn răng trước hàm dưới nhưng cách xa nhau.
Khớp cắn ngược (móm)

Khớp cắn ngược hay móm là tình trạng 3 phần trán, mũi, cằm bị lệch, gãy ở giữa gương mặt nên nhìn nghiêng thấy mũi gãy, cằm nhô ra trước tạo thành lưỡi cày. Nhóm răng trước hàm trên ở trong nhóm răng trước hàm dưới, bị hàm dưới che khuất hoàn toàn.
Khớp cắn chéo
Khớp cắn chéo không biểu hiện nhiều trên khuôn mặt mà chỉ lộ ra khi cười. Với người thường, bạn sẽ thấy toàn bộ răng, các kẽ răng sẽ cân đối, hài hoà với nhau. Nhưng người bị khớp cắn chéo làm cho răng bị xô lệch, cái thò ra, cái thụt vào trong không rõ là bị móm hay vẩu.
Khớp cắn đối đỉnh

Khớp cắn đối đỉnh hay khớp cắn đối đầu cũng có thể xảy ra. Chúng dễ bị nhầm lẫn với khớp cắn chuẩn nhưng bạn nhận ra bằng cách quan sát hàm răng. Thấy nhóm răng cửa hàm trên chạm vào đỉnh của nhóm răng cửa hàm dưới thì đó là khớp cắn đối đỉnh.
Khớp cắn hở
Khớp cắn hở có đặc điểm cụ thể là răng trước 2 hàm không thể chạm nhau, thậm chí nhìn thấy lưỡi khi răng ở trạng thái nghỉ. Đây cũng là tình trạng tương đối phức tạp ảnh hưởng đến cả thẩm mỹ và khả năng ăn nhai.
Khớp cắn sâu

Khớp cắn sâu là dạng mất cân đối của hàm trên và dưới khiến cho hàm dưới bị “lọt thỏm”, khuất sâu ở trong hàm trên. Khi nhìn nghiêng có thể nhận thấy hàm dưới bị che đi nhiều, tương quan 3 phần trán, mũi, cằm giống như người vẩu.
Những nguyên nhân dẫn tới sai lệch khớp cắn

Vấn đề sai lệch khớp cắn có thể xuất phát từ nhiều nguyên nhân khác nhau. Dưới đây là nhưng yếu tố chính nhé.
- Do di truyền: Bị sai khớp cắn do di truyền chiếm tỷ lệ khoảng 70% có thể từ phía cha mẹ, thậm chí là người khác trong gia đình như ông bà, cô dì, chú bác,… Theo nghiên cứu thì trẻ em nhận được 50% gene từ cha và phần còn lại của mẹ. Tuy nhiên, gene của nam mạnh hơn nên thường nổi bật hơn. Con cái sẽ di truyền gồm nhiều yếu tố như trí thông minh, cân nặng, chiều cao, màu mắt…và đương nhiên bao gồm cả sức khoẻ răng.
- Thói quen xấu của trẻ: Trẻ em ngay từ bé đã có thói quen mút tay, tật đưa lưỡi ra đằng trước, bú bình quá lâu, chống cằm,… cũng làm cho hàm răng bị sai lệch.
- Răng sữa rụng quá sớm: Điều này làm cho răng vĩnh viễn không có răng định hướng về đúng vị trí dẫn tới tình trạng răng mọc lệch về sau.
- Răng sữa rụng quá muộn: Cũng có thể làm cho răng vĩnh viễn không mọc được đúng vị trí, buộc răng này phải mọc ngược vào trong hoặc ra ngoài.
- Răng vĩnh viễn có khách thước quá to, lớn: Làm cho cung hàm không đủ khoảng trống để răng mọc đều đặn.
- Tự ý nhổ răng: Có một số phụ huynh mắc sai lầm khi tự ý nhổ răng sữa cho trẻ. Trường hợp nhổ không đúng cách hoặc chân răng sữa chưa hết, răng mới mọc lên chen chúc làm cho chúng bị lệch lạc, ảnh hưởng đến cả hàm và khuôn mặt.
- Chế độ dinh dưỡng thiếu hụt các chất như Canxi, vitamin K, C, D,… hoặc vệ sinh răng miệng không đúng cách cũng làm sai lệch khớp cắn.
Các phương pháp giúp đạt khớp cắn chuẩn
Sở hữu hàm răng trắng đều đẹp và nhất là có khớp cắn chuẩn thì chắc hẳn ai cũng muốn. Nếu vậy, bạn tham khảo ngay các phương pháp hiệu quả nhất dưới đây nhé.
Niềng răng

Niềng răng là giải pháp truyền thống và phổ biến nhất, sử dụng những khí cụ chuyên dụng như dây cung, mắc cài hoặc khay niềng trong suốt, tác động lực nhất định lên răng nhằm đưa chúng về đúng vị trí như mong muốn.
Với sự phát triển vượt trội của nha khoa hiện nay, bạn có thể chọn các phương pháp như: niềng răng mắc cài kim loại thường, mắc cài kim loại tự đóng, mắc cài sứ thường, mắc cài sứ tự đóng, niềng răng trong suốt. Mỗi công nghệ đều sở hữu ưu điểm, hạn chế và mức chi phí khác nhau. Tuỳ thuộc vào tình trạng cũng như điều kiện mà bạn chọn phương pháp phù hợp nhất nhé.
Thời gian niềng răng có thể từ 1.5 – 2 năm và thường những bạn nhỏ trong độ tuổi thanh thiếu niên rút ngắn hơn so với người trưởng thành.
Đặc biệt, công nghệ mới nhất có thể mô phỏng cả quá trình dịch chuyển răng một cách chính xác. Bạn cũng không cần quá lo lắng khi những địa chỉ nha khoa uy tín cam kết bảo tồn nguyên vẹn hàm răng thật cho khách hàng, rút ngắn thời gian trị liệu nhờ những phương pháp hiện đại, cơ sở vật chất ưu việt.
Niềng răng vẫn được đánh giá là phương pháp đưa khớp cắn về đúng chuẩn với cả người bị hô, vẩu, móm, răng lệch lạc,… từ nhẹ đến phức tạp, tính thẩm mỹ đang dần được cải thiện cùng chi phí phù hợp.
Đọc thêm: Niềng răng cho trẻ em cần lưu ý những gì?
Phẫu thuật hàm

Không phải ai cũng cần phẫu thuật hàm mà phương pháp này chỉ dành cho những người gặp phải tình trạng khớp cắn sai lệch phức tạp do xương gây ra. Các bác sĩ sẽ tiến hành trị liệu cắt xương hàm, đưa chúng đến vị trí phù hợp nhất và cân đối với toàn bộ khuôn mặt.
Vì phương pháp này tương đối phức tạp đòi hỏi bác sĩ phải có kiến thức, chuyên môn, kinh nghiệm cao cùng trang thiết bị hiện đại đảm bảo cho quá trình thực hiện diễn ra an toàn, hiệu quả.
Niềng răng kết hợp phẫu thuật chỉnh hàm
Với trường hợp vừa bị hô/móm hàm lại vừa hô/móm răng hay lệch lạc, chen chúc nhau thì có thể sẽ cần kết hợp cả hai phương pháp niềng răng và phẫu thuật. Để biết chính xác tình trạng sai lệch khớp cắn của mình ở tình trạng ra sao, bạn đến địa chỉ nha khoa uy tín sẽ được thăm khám chính xác hơn nhé.
Khớp cắn chuẩn ảnh hưởng không nhỏ đến vẻ đẹp của khuôn mặt cũng như khả năng ăn nhai. Nếu không may rơi vào tình trạng sai lệch khớp cắn, mọi người nên khắc phục càng sớm càng tốt để sớm lấy lại sự tự tin, thoải mái và không tạo gánh nặng cho hệ tiêu hoá nhé.





