
Phụ nữ 30 tuổi nên uống gì để đẹp da?
Ở phụ nữ 30, làn da bắt đầu có những dấu hiệu lão hóa rõ ràng hơn với những nếp nhăn khóe mắt, nám hai bên má và tình

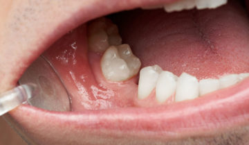
Tiêu xương ổ răng sau khi nhổ răng
Tiêu xương ổ răng sau khi nhổ răng là một quá trình sinh lý bệnh học phức tạp, diễn ra âm thầm nhưng có ảnh hưởng sâu

Bà bầu có trám răng được không? – Giải đáp ngay
Trong suốt thai kỳ, nhiều phụ nữ gặp phải các vấn đề răng miệng như sâu răng, ê buốt, đau nhức nhưng lại chần chừ điều












