Tụt lợi khi niềng răng không phải là một biến chứng ngẫu nhiên. Trong đa số trường hợp, tình trạng này xuất phát từ sự tương tác phức tạp giữa kỹ thuật chỉnh nha, nền mô nha chu ban đầu và thói quen chăm sóc răng miệng của người bệnh. Việc hiểu đúng nguyên nhân giúp định hướng phòng ngừa và điều trị hiệu quả, thay vì chỉ xử lý phần “ngọn”.
Mục lục
1. Nguyên nhân đến từ kỹ thuật chỉnh nha
Kỹ thuật chỉnh nha đóng vai trò trung tâm trong nguy cơ gây tụt lợi. Răng không phải nằm cố định trong xương mà được treo bởi hệ thống dây chằng nha chu. Khi lực chỉnh nha tác động liên tục, mô quanh răng phải thích nghi. Nếu lực vượt quá khả năng thích nghi sinh học, tổn thương mô mềm và xương ổ răng sẽ xảy ra.
Lực kéo quá mạnh hoặc sai hướng

Trong chỉnh nha, lực lý tưởng phải nhẹ, liên tục và nằm trong “ngưỡng sinh học”. Khi lực quá mạnh:
- Mạch máu trong dây chằng nha chu bị chèn ép kéo dài
- Quá trình tái tạo xương bị rối loạn
- Xảy ra tiêu xương ổ răng không kiểm soát
Hậu quả là mô nâng đỡ răng bị suy yếu, lợi mất điểm bám và di chuyển dần về phía chóp răng, gây tụt lợi. Lực sai hướng, đặc biệt là lực đẩy răng ra phía ngoài cung hàm, càng làm nguy cơ này tăng cao do răng dễ vượt ra khỏi giới hạn xương ổ.
Kế hoạch điều trị không phù hợp nền xương
Mỗi bệnh nhân có hình thái xương hàm, độ dày xương ổ răng và biên độ sinh học khác nhau. Nếu kế hoạch niềng răng:
- Không đánh giá đầy đủ độ dày xương mặt ngoài
- Không phân tích phim sọ nghiêng, phim cắt lớp
- Không dự đoán hướng di chuyển răng an toàn
thì răng có thể bị dịch chuyển vào vùng xương mỏng hoặc ngoài vỏ xương. Khi đó, lợi không còn nền nâng đỡ vững chắc, rất dễ tụt dù lực chỉnh nha không quá mạnh.
Răng bị đẩy ra ngoài vỏ xương ổ răng
Đây là cơ chế quan trọng nhất gây tụt lợi khi niềng. Khi chân răng vượt ra khỏi vỏ xương:
- Xương ổ răng không còn bao phủ toàn bộ chân răng
- Lợi chỉ còn bám vào mô mềm, không có xương nâng đỡ
- Nguy cơ tiêu xương và tụt lợi tăng nhanh
Tình trạng này thường gặp khi nong cung hàm quá mức, làm nghiêng răng ra ngoài, hoặc cố gắng sắp đều răng trong khi nền xương không đủ rộng.
Niềng răng khi mô nha chu đã yếu sẵn
Nếu bệnh nhân có tiền sử viêm nha chu, tiêu xương ổ răng, lợi mỏng hoặc tụt lợi nhẹ trước khi niềng nhưng không được điều trị ổn định, lực chỉnh nha sẽ làm quá trình phá hủy mô quanh răng tiến triển nhanh hơn. Khi đó, chỉnh nha không chỉ di chuyển răng mà còn vô tình thúc đẩy quá trình tụt lợi.
Phân tích chuyên môn
Sai sót trong chỉnh nha làm tăng nguy cơ tụt lợi vì chỉnh nha là yếu tố chủ động tạo lực. Một lực đúng sẽ kích thích tái tạo xương sinh lý. Một lực sai sẽ phá vỡ cân bằng sinh học, dẫn đến tiêu xương, mất bám dính và tụt lợi. Do đó, năng lực chẩn đoán và kiểm soát lực của bác sĩ có vai trò quyết định.
Hỏi đáp: Tụt lợi có tự khỏi được không?
2. Nguyên nhân đến từ tình trạng răng miệng ban đầu
Tụt lợi khi niềng răng thường không bắt đầu từ lúc gắn mắc cài, mà đã được “chuẩn bị sẵn” từ trước bởi nền nha chu yếu.
Lợi mỏng bẩm sinh
Có những người thuộc kiểu hình nha chu mỏng:
- Lợi mỏng, trong, dễ bị kích thích
- Xương ổ răng mặt ngoài mỏng
- Mạch máu nuôi dưỡng hạn chế
Ở nhóm này, chỉ cần lực chỉnh nha ở mức trung bình cũng đủ làm lợi mất ổn định. Khi răng di chuyển, lợi không đủ khả năng thích nghi và rất dễ tụt.
Viêm lợi, viêm nha chu trước khi niềng

Viêm lợi và viêm nha chu làm:
- Phá hủy dây chằng nha chu
- Tiêu xương ổ răng
- Giảm bám dính mô mềm
Nếu chỉnh nha được tiến hành khi mô nha chu đang viêm, lực kéo sẽ làm vi khuẩn và phản ứng viêm lan rộng hơn, khiến tụt lợi xuất hiện sớm và nặng hơn.
Thiếu xương ổ răng
Tiêu xương ổ răng có thể do viêm nha chu, mất răng lâu năm, sang chấn khớp cắn hoặc cấu trúc bẩm sinh. Khi xương ổ đã thiếu hụt, răng gần như không còn “vùng an toàn” để di chuyển. Mọi thay đổi vị trí đều dễ làm lộ chân răng và kéo theo tụt lợi.
Cao răng nhiều, vệ sinh kém
Cao răng là môi trường lý tưởng cho vi khuẩn gây bệnh nha chu. Nếu không được làm sạch triệt để trước khi niềng, nguy cơ viêm lợi mạn tính rất cao. Mô lợi viêm sẽ dễ chảy máu, dễ tiêu và mất bám dính khi chịu tác động của lực chỉnh nha.
Nhấn mạnh vai trò thăm khám trước niềng
Khám nha chu tổng quát, đo túi lợi, chụp phim X-quang và đánh giá kiểu hình lợi là bước bắt buộc. Việc bỏ qua giai đoạn này đồng nghĩa với việc đặt nền móng không vững cho toàn bộ quá trình chỉnh nha.
3. Nguyên nhân đến từ thói quen và chăm sóc khi niềng
Dù bác sĩ lập kế hoạch đúng, tụt lợi vẫn có thể xảy ra nếu người bệnh không chăm sóc răng miệng phù hợp.
Đánh răng sai cách, dùng bàn chải cứng
Chải răng theo chiều ngang mạnh, sử dụng bàn chải lông cứng sẽ gây mòn cổ răng và chấn thương lợi. Khi kết hợp với mô lợi đang nhạy cảm do chỉnh nha, tổn thương cơ học này thúc đẩy quá trình tụt lợi nhanh hơn.
Không dùng chỉ nha khoa, máy tăm nước
Mắc cài và dây cung tạo nhiều kẽ giắt thức ăn. Nếu không làm sạch hiệu quả:
- Mảng bám tích tụ
- Viêm lợi kéo dài
- Mất bám dính mô quanh răng
Viêm mạn tính là một trong những yếu tố hàng đầu gây tụt lợi trong chỉnh nha.
Hút thuốc lá

Nicotine làm co mạch, giảm tưới máu mô lợi và ức chế quá trình lành thương. Người hút thuốc thường có biểu hiện viêm nha chu âm thầm, ít chảy máu nhưng tiêu xương nhanh. Khi niềng răng, nguy cơ tụt lợi ở nhóm này cao hơn rõ rệt.
Nghiến răng, cắn vật cứng
Sang chấn khớp cắn do nghiến răng hoặc thói quen cắn bút, cắn móng tay làm tăng lực cơ học lên răng và mô nha chu. Khi lực chỉnh nha cộng hưởng với sang chấn này, mô quanh răng bị quá tải, dẫn đến tiêu xương và tụt lợi.
Đào sâu yếu tố người bệnh
Khác với nền xương hay kiểu hình lợi, thói quen chăm sóc là yếu tố có thể kiểm soát. Việc tuân thủ hướng dẫn vệ sinh, tái khám định kỳ và thay đổi lối sống đóng vai trò quan trọng trong phòng ngừa tụt lợi khi niềng.
4. Nguyên nhân phối hợp
Trong thực tế lâm sàng, tụt lợi hiếm khi do một nguyên nhân đơn lẻ. Thường gặp nhất là sự kết hợp của:
- Sai lệch khớp cắn cần di chuyển răng nhiều
- Nền mô lợi mỏng hoặc viêm nha chu tiềm ẩn
- Chăm sóc răng miệng chưa tối ưu
Chính sự cộng hưởng này làm ngưỡng chịu đựng của mô quanh răng bị vượt quá. Khi đó, tụt lợi là hậu quả gần như không tránh khỏi nếu không can thiệp kịp thời.
Tìm hiểu: 50 tuổi có nên niềng răng không?
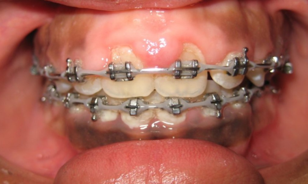
5. Dấu hiệu nhận biết niềng răng bị tụt lợi
Phát hiện sớm giúp ngăn chặn tiến triển nặng. Tuy nhiên, giai đoạn đầu thường ít đau, khiến nhiều người chủ quan.
Dấu hiệu ban đầu
Ở giai đoạn sớm, tụt lợi chủ yếu biểu hiện bằng thay đổi cảm giác và hình thái nhẹ:
- Ê buốt khi uống nước lạnh, nóng hoặc chua
- Viền lợi mỏng hơn, nhạt màu hoặc đỏ nhẹ
- Cảm giác răng dài ra so với trước
- Dễ chảy máu khi chải răng hoặc dùng chỉ nha khoa
Đây là thời điểm mô lợi bắt đầu mất bám dính. Nếu được kiểm soát, tình trạng có thể ổn định mà chưa để lại tổn thương lớn.
Dấu hiệu rõ rệt
Khi tụt lợi tiến triển, các thay đổi trở nên dễ nhận thấy:
- Lộ rõ phần cổ răng hoặc chân răng
- Xuất hiện khe hở giữa lợi và răng
- Thức ăn thường xuyên mắc vào vùng cổ răng
- Hơi thở có mùi dù vệ sinh thường xuyên
Lúc này, nguy cơ sâu chân răng và viêm nha chu tăng rõ rệt.
Dấu hiệu nặng – cảnh báo biến chứng
Ở giai đoạn muộn, tụt lợi không còn là vấn đề thẩm mỹ đơn thuần:
- Răng lung lay, cảm giác răng yếu khi ăn nhai
- Đau âm ỉ vùng nướu, có thể lan
- Hình ảnh tiêu xương ổ răng trên phim
- Mất thẩm mỹ nghiêm trọng, ảnh hưởng phát âm và tâm lý
Khi nào cần đi khám ngay
Bất kỳ biểu hiện lộ chân răng, ê buốt kéo dài, chảy máu lợi nhiều hoặc răng lung lay trong quá trình niềng đều là chỉ định cần được bác sĩ chỉnh nha và nha chu đánh giá sớm.
6. Niềng răng bị tụt lợi có nguy hiểm không?
Tụt lợi không chỉ là “lợi co lên” mà là dấu hiệu của sự suy yếu hệ thống nâng đỡ răng.
Hậu quả về sức khỏe răng miệng
Tụt lợi làm lộ cement chân răng, mô này kém khoáng hơn men răng nên:
- Dễ sâu cổ răng
- Dễ mòn và ê buốt kéo dài
- Tăng nguy cơ viêm nha chu mạn tính
Khi tiêu xương tiếp diễn, răng mất điểm tựa, dẫn đến lung lay và nguy cơ mất răng sớm dù đã chỉnh nha xong.
Hậu quả về thẩm mỹ và tâm lý
Tụt lợi làm thay đổi tỷ lệ thân răng, khiến nụ cười mất hài hòa:
- Cười hở cổ răng, chân răng sậm màu
- Răng trông dài, thưa
- Người bệnh mất tự tin, lo lắng về kết quả niềng
Với nhiều người, yếu tố tâm lý này ảnh hưởng đáng kể đến chất lượng sống.
Tụt lợi có hồi phục được không?
Khả năng hồi phục phụ thuộc mức độ tổn thương:
- Nhẹ: mô lợi viêm, tụt rất ít, có thể ổn định nếu kiểm soát tốt nguyên nhân
- Trung bình: mất bám dính rõ, có thể cần can thiệp nha chu để cải thiện hình thể lợi
- Nặng: tiêu xương và tụt lợi nhiều, không thể tự hồi phục, cần phẫu thuật tái tạo mô
Phát hiện càng sớm, khả năng bảo tồn mô và răng càng cao.
7. Cách điều trị niềng răng bị tụt lợi
Điều trị tụt lợi khi niềng không đơn thuần là “che chân răng”, mà là xử lý toàn diện từ nguyên nhân đến hậu quả.
Nguyên tắc điều trị cốt lõi
- Luôn xác định và kiểm soát nguyên nhân gây tụt lợi
- Phối hợp chặt chẽ giữa bác sĩ chỉnh nha và bác sĩ nha chu
- Cá nhân hóa phác đồ theo tình trạng mô, xương và kế hoạch niềng
Nếu chỉ phục hồi thẩm mỹ mà bỏ qua yếu tố sinh học, tụt lợi rất dễ tái phát.
Các phương pháp điều trị theo mức độ
| Mức độ tụt lợi | Đặc điểm lâm sàng | Hướng điều trị chính |
|---|---|---|
| Trường hợp nhẹ | – Tụt lợi ít, mới khởi phát – Chủ yếu viêm lợi, chưa mất bám dính đáng kể – Ít hoặc chưa lộ chân răng | – Điều chỉnh lực chỉnh nha, thay đổi hướng di chuyển răng để giảm áp lực lên mô lợi – Lấy cao răng, làm sạch mảng bám và điều trị viêm lợi triệt để – Hướng dẫn kỹ thuật vệ sinh răng miệng chuyên sâu cho người niềng răng – Tư vấn lựa chọn bàn chải, chỉ nha khoa, máy tăm nước phù hợp Nhiều trường hợp có thể ổn định hoàn toàn mà không cần can thiệp phẫu thuật. |
| Trường hợp trung bình | – Tụt lợi rõ rệt – Bắt đầu có mất bám dính mô nha chu – Có túi lợi nông đến trung bình – Có nguy cơ tiến triển nếu không kiểm soát | – Điều trị nha chu không phẫu thuật – Kiểm soát viêm, loại bỏ mảng bám và cao răng dưới lợi – Điều trị và theo dõi túi lợi định kỳ – Áp dụng các biện pháp hỗ trợ tái tạo mô mềm không phẫu thuật nếu phù hợp – Theo dõi sát trong suốt quá trình chỉnh nha và điều chỉnh lực kịp thời Mục tiêu là bảo tồn mô nha chu hiện có và tạo điều kiện cho lợi ổn định lâu dài. |
| Trường hợp nặng | – Tụt lợi nhiều – Lộ chân răng rộng – Tiêu xương ổ răng rõ rệt – Có thể kèm lung lay răng hoặc viêm nha chu tiến triển | – Phẫu thuật ghép lợi hoặc ghép mô liên kết để che phủ chân răng và tăng độ dày mô lợi – Ghép xương ổ răng khi có chỉ định nhằm phục hồi nền nâng đỡ răng – Đánh giá lại toàn bộ kế hoạch chỉnh nha – Điều chỉnh hoặc tạm dừng niềng răng để ưu tiên điều trị nha chu Ở giai đoạn này, mục tiêu hàng đầu là bảo tồn răng và sức khỏe mô nha chu, không đặt nặng tốc độ chỉnh nha. |
Có nên tiếp tục niềng răng khi đã bị tụt lợi?
Quyết định phụ thuộc mức độ tổn thương:
- Có thể tiếp tục khi tụt lợi nhẹ, đã kiểm soát viêm và điều chỉnh lực
- Bắt buộc tạm dừng khi viêm nha chu tiến triển, răng lung lay hoặc tiêu xương nhanh
- Cần hội chẩn giữa chỉnh nha và nha chu để xây dựng kế hoạch an toàn
Mục tiêu cuối cùng không chỉ là răng đều mà là răng khỏe, tồn tại lâu dài trên cung hàm.





