Rất nhiều người nghĩ rằng tháo niềng là kết thúc những năm tháng bị kìm hãm bởi đám mắc cài và dây cung mà họ đâu biết rằng sau quá trình chỉnh nha còn sự xuất hiện của một khí cụ mới đó là hàm duy trì. Vậy hàm duy trì có tác dụng như thế nào? Có nhất thiết phải đeo nó sau khi kết thúc chỉnh nha hay không. Cùng tìm hiểu ngay trong bài viết này nhé!
Thế nào là hàm duy trì?

Hàm duy trì là một khí cụ giúp hỗ trợ việc níu giữ và ổn định vị trí của răng. Nó thường được sử dụng sau quá trình niềng răng, phẫu thuật điều chỉnh răng hoặc sau những kỹ thuật sắp xếp răng. Vì các hàm duy trì được làm từ vật liệu cứng và được thiết kế có mục đích vì vậy ngay sau khi lắp vào miệng, răng sẽ được cố định và không thể di chuyển sang vị trí khác.
Bên cạnh đó hàm duy trì nhiều khi cũng được sử dụng để cho răng khôn số 8 có đủ chỗ để mọc, bởi vì theo các nghiên cứu khi tới tuổi vị thành niên thì răng sẽ di chuyển liên tục trong hàm. Khí đó bác sĩ phải dùng tới dụng cụ giữ răng để răng số 8 có thể mọc thẳng một cách dễ dàng hơn, tránh việc mọc lệch do không có đủ diện tích cho răng mọc.
Tuy nhiên tại hầu hết các nước trên thế giới trong đó có Việt Nam thì hàm duy trì vẫn được sử dụng phổ biến nhất cho những người mới niềng răng xong.
Tại sao cần phải đeo hàm duy trì sau khi kết thúc niềng răng, không đeo có sao không?
Cần phải đeo hàm duy trì sau khi kết thúc niềng răng bởi vì sau khi chỉnh nha thì chân răng vẫn chưa thực sự ổn định tốt nhất. Xương và dây chằng ở vị trí răng mới chưa đủ khỏe để giữ chắc được chân răng, do vậy khi phải chịu tác động của hoạt động ăn nhai hàng ngày sẽ khiến cho răng di chuyển lại vị trí ban đầu.
Lúc này hàm duy trì sẽ có nhiệm vụ ngăn chặn không cho răng di chuyển, từ đó để cho dây chằng và xương hàm có đủ thời gian để chắc khỏe, cố định được răng ở vị trí mới.
Như vậy nếu sau khi kết thúc quá trình niềng răng mà không đeo hàm duy trì thì răng của bạn có khả năng rất cao sẽ bị chạy lại vị trí cũ, công sức, tiền bạc bỏ ra trong nhiều năm trời sẽ bị tan biến và lúc này bạn sẽ phải thực hiện lại việc niềng răng.
Có bao nhiêu loại hàm duy trì?
Mặc dù hàm duy trì có nhiều mẫu mã và kiểu dáng tuy nhiên nhìn chung thì hàm duy trì có hai loại chính là hàm tháo lắp và hàm cố định.
Hàm duy trì trong suốt tháo lắp

Hàm duy trì trong suốt tháo lắp có thiết kế gần giống với khay chỉnh nha trong suốt Invisalign. Mỗi khách hàng sẽ có mẫu khí cụ duy trì răng với những thông số không giống nhau.
Ưu điểm:
- Tính thẩm mỹ 100% do khay duy trì có màu sắc trong suốt, người ngoài sẽ rất khó để phát hiện ra bạn đang đeo hàm duy trì, tự tin giao tiếp trong cuộc sống và công việc.
- Khay duy trì nhỏ gọn, vừa khít với răng
- Tiện lợi, có thể dễ dàng tháo ra lắp vào đơn giản
- Không làm ảnh hưởng tới khả năng phát âm của người dùng
Nhược điểm:
- Không điều chỉnh được kích thước nếu thiết kế khay không chuẩn
- Không sửa chữa được nếu khay bị nứt hoặc hỏng
- Khay duy trì dễ bị cong nếu để gần nguồn nhiệt cao
- Vì khay trong suốt nên rất dễ bị ố vàng, xỉn màu nếu người dùng không vệ sinh, chăm sóc kỹ
- Khi sử dụng sẽ không có cảm giác khi 2 hàm răng chạm vào nhau.
Đối với loại hàm này ít nhất trong 6 tháng đầu bạn phải đeo 22h/ ngày, sau 6 tháng chỉ cần đeo vào buổi tối trước khi đi ngủ và duy trì thói quen này càng lâu càng tốt. Có thể nói hàm duy trì trong suốt được nhiều người ưu chuộng nhất hiện nay bởi nó không chỉ thẩm mỹ mà còn rất tiện dụng.
Chi phí làm hàm duy trì trong suốt: 600.000đ/ hàm, 1.200.000đ/2 hàm
Hàm duy trì cố định kim loại mặt trong

Hàm duy trì cố định mặt trong có thiết kế vô cùng đơn giản gồm có 1 dây kim loại được đính vào mặt sau của răng, nó sẽ được gắp cố định luôn và không thể tự tháo ra tại nhà mà phải có sự hỗ trợ của bác sĩ.
Ưu điểm:
- Có hiệu quả ổn định răng năng tốt và nhanh hơn bởi khách hàng phải đeo liên tục
- Người đối diện không thể phát hiện ra bạn đang đeo hàm duy trì bởi khí cụ được gắn ở mặt sau của răng
- Hoàn toàn không cản trở tới khả năng phát âm của người dùng
- Có độ bền cao, rất khó bị hư hỏng
Nhược điểm:
- Khi ăn uống sẽ dễ bị mắc thức ăn, thực phẩm trên dây kim loại
- Việc vệ sinh răng miệng sẽ trở nên phức tạp và khó khăn hơn
- Với những người dùng chỉ nha khoa để làm sạch kẽ răng sẽ khó và mất thời gian
- Một vài trường hợp có thể gây ra kích ứng lưỡi
- Nếu bác sĩ chỉnh nha không có kinh nghiệm sử dụng lực dán thụ cộng kết hợp dây kim loại quá cứng sẽ có thể khiến răng bị di chuyển theo hình dạng dây kim loại lúc này hàm duy trì lại biến thành dây cung niềng răng mặt trong.
Giá hàm duy trì cố định mặt trong: Nằm luôn trong gói niềng răng vì vậy bạn sẽ không mất chi phí cho loại hàm duy trì này
Đọc thêm: Dây cung bị đâm vào má phải làm sao?
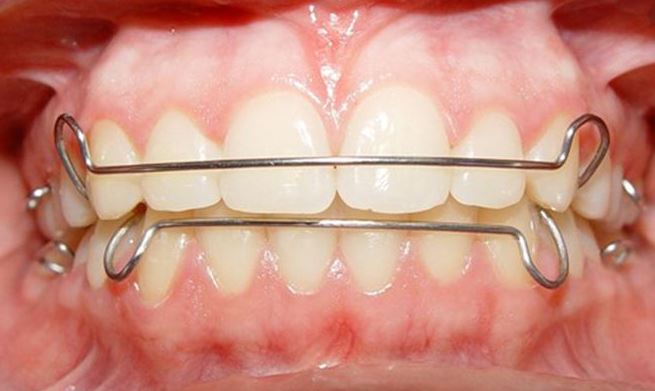
Hàm duy trì tháo lắp kim loại

Loại hàm duy trì này cũng giống với hàm duy trì tháo lắp trong suốt là có thể dễ dàng tháo ra lắp vào tuy nhiên nó được làm bằng kim loại. Loại hàm duy trì này còn được gọi là hàm duy trì hawley. Nó có cấu tạo làm bằng dây kim loại, nhìn giống như một dây cung ôm sát răng cửa. Tuy nhiên chỉ nên đeo vào ban đêm vì dây kim loại của loại hàm này lộ ra ngoài bề mặt răng, không có tính thẩm mỹ.
Ưu điểm của hàm duy trì tháo lắp kim loại là khả năng cố định răng đúng vị trí rất cao do kết cấu và dây kim loại chắc chắn.
Chi phí hàm duy trì tháo lắp kim loại: 600.000đ/ hàm
Sử dụng loại hàm duy trì nào tốt nhất?

Nếu xét về mặt tổng quan thì hàm duy trì nào cũng có hiệu quả ngang nhau, tùy theo tình trạng, đặc thù công việc của từng người mà bác sĩ sẽ lựa chọn loại khí cụ sao cho phù hợp nhất.
Tính hiệu quả
Như đã nói ở trên, hiệu quả giữ răng của các loại hàm duy trì đều giống nhau. Tuy nhiên nếu với khí cụ tháo lắp bạn có thể dễ dàng tháo ra vì vậy cũng có thể dễ quên không đeo thì với khí cụ cố định các thiết bị sẽ được gắn chặt vào mặt sau của răng, không thể tự tháo. Từ đó người sử dụng sẽ phải đeo hàm duy trì cả ngày, hiệu quả cố định răng sẽ luôn được đảm bảo ở vị trí cao nhất.
Tính tiện lợi
Nói về tính tiện lợi thì chắc chắn hàm duy trì tháo lắp trong suốt và hàm duy trì tháo lắp kim loại sẽ ưu việt hơn. Với 2 loại hàm này bạn có thể dễ dàng tháo ra lắp vào, rất thuận tiện cho người sử dụng.
Về tính thẩm mỹ
Đối với tính thẩm mỹ thì bạn có thể lựa chọn hàm duy trì mặt trong hoặc hàm duy trì trong suốt. Hai sản phẩm này đều vô hình với người đối diện khi giao tiếp vì thể bạn có thể hoàn toàn yên tâm về mặt thẩm mỹ, tự do thoải mái cười nói.
Độ bền lâu
Nếu bạn thích loại khí cụ có độ bền lâu thì tốt nhất không nên lựa chọn hàm duy trì trong suốt, bởi so với hàm cố định mặt trong và hàm cố định tháo lắp kim loại thì hàm duy trì trong suốt có độ bền kém nhất.
Cần đeo hàm duy trì trong bao lâu?
Theo các bác sĩ cho biết, thời gian đeo hàm duy trì cần ít nhất trong 12 tháng. Đặc biệt trong khoảng 4 – 6 tháng đầu tiên nên cố gắng đeo suốt 24 tiếng, sau thời gian này bạn có thể chỉ cần đeo vào buổi tối khi đi ngủ.
Thời gian đeo hàm duy trì chính xác trong bao lâu đối với mỗi người sẽ khác nhau và phụ thuộc vào tình trạng cũng như độ chắc khỏe của xương hàm. Với những người có cơ địa tốt, xương hàm chắc khỏe thì chỉ cần đeo trong thời gian từ 9 – 10 tháng, còn đối với những người có xương hàm yếu và dễ bị tổn thương thì có thể sẽ cần đeo hàm duy trì cả đời.
Bên cạnh đó các bác sĩ cũng cho biết rằng xương hàm và răng của con người sẽ thay đổi và bị biến động theo từng thời điểm vì vậy để cho chân răng có thể ổn định ở vị trí mới thì khách hàng phải giữ thói quen đeo hàm duy trì khi đi ngủ. Ngoài ra sau vài năm thì nên đi làm mới hoặc thay thế hàm duy trì mới.
Hàm duy trì đeo có bị đau không?
Có nhiều người lo lắng việc đeo hàm duy trì có bị đau giống như khi đeo niềng răng hay không thì hoàn toàn có thể yên tâm rằng hàm duy trì không tác động lực lên răng nên sẽ không tạo ra cảm giác đau nhức.
Tuy nhiên trong thời gian đầu khi mới đeo sẽ không thể tránh khỏi cảm giác khó chịu và vướng víu trong miệng. Đơn giản là do miệng vẫn chưa làm quen được với khí cụ thể, nhưng bạn yên tâm chỉ sau một vài ngày hiện tượng này sẽ hoàn toàn biến mất.
Trên đây là những kiến thức về hàm duy trì sau khi tháo niềng răng. Có thể nói việc đeo hàm duy trì đóng vai trò vô cùng quan trọng giúp bạn có hàm răng đều đặn mà không sợ răng bị chạy sau khi tháo niềng. Việc lựa chọn hàm duy trì phù hợp cũng rất cần thiết giúp bạn thoải mái tự tin. Chúc bạn lựa chọn được hàm duy trì tốt nhất với mình và đạt hiệu quả niềng răng cao nhất nhé!
Đọc thêm: Những lưu ý bạn cần biết trong thời gian đeo hàm duy trì





