Niềng răng hiện nay có rất nhiều phương pháp khác nhau giúp bạn sớm sở hữu hàm răng chuẩn khớp cắn, sát khít với nhau, đều và đẹp. Trước khi chỉnh nha, bạn cần trải qua công đoạn là chụp phim. Một số người băn khoăn không biết chụp phim niềng răng nhằm mục đích gì? Cần lưu ý điều gì? Tìm hiểu đầy đủ thông tin dưới đây nhé!
Mục lục
Niềng răng và các trường hợp cần chỉnh nha

Niềng răng là phương pháp sử dụng các khí cụ nha khoa gắn lên hàm răng nhằm tạo lực dịch chuyển giúp các răng về đúng vị trí trên cung hàm. Nếu tìm hiểu chắc hẳn bạn đã nghe đến:
- Niềng răng mắc cài kim loại thường
- Niềng răng mắc cài kim loại tự buộc (tự đóng)
- Niềng răng mắc cài sứ thường
- Niềng răng mắc cài sứ tự buộc (tự đóng)
- Niềng răng khay niềng trong suốt
Tùy theo độ sai lệch răng của mỗi người, cơ địa, các phương pháp chỉnh nha khác nhau, thời gian niềng răng có thể kéo dài từ 1.5 – 2 năm.
Kỹ thuật niềng răng thường được chỉ định trong hầu hết các trường hợp sai lệch răng và khớp cắn như:
- Răng hô, móm, răng mọc khấp khểnh, chen chúc
- Răng thưa có khe hở to nhỏ giữa các răng
- Sai lệch khớp cắn: khớp cắn chéo, khớp cắn ngược, khớp cắn đối đỉnh,…
Đọc thêm: Niềng răng sứ và kim loại nên lựa chọn loại nào?
Chụp X-quang răng là gì?

Chụp X-quang răng là kỹ thuật chẩn đoán hình ảnh về xương, răng và các mô mềm xung quanh răng nhằm tìm ra vấn đề bệnh lý răng miệng. Thông qua những dữ liệu này, bác sĩ sẽ có chẩn đoán chính xác về tình trạng răng, cấu trúc xương hàm, răng mọc ngầm (răng khôn), tình trạng mất xương,… Bên cạnh đó, chụp X-quang còn được thực hiện để theo dõi sau khi điều trị nha khoa xem có vấn đề gì chưa ổn không. Hiện nay, máy chụp X-quang ngày càng hiện đại giúp đưa đến thông tin rõ nét, hạn chế tối đa nguy cơ bị nhiễm xạ bởi tia X.
Một số bệnh lý răng miệng có thể nhìn thấy nhờ chụp phim X-quang:
- Mức độ sai lệch khớp cắn
- Sâu răng, viêm tủy răng
- Các bệnh lý về xương hàm
- Viêm nha chu
- Răng mọc ngầm, nhiễm trùng chân răng
- Các u vùng hàm mặt
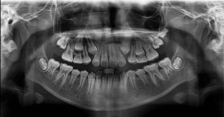
Kỹ thuật chụp phim niềng răng

Chụp phim niềng răng là một bước cơ bản không thể thiếu trong quá trình chỉnh nha. Hiện nay có 2 kỹ thuật chụp X-quang răng được ứng dụng để niềng răng: chụp X-quang toàn hàm và chụp mặt nghiêng.
– Chụp X-quang toàn hàm: Bác sĩ dựa vào phim chụp để đánh giá mối tương quan giữa răng, xương hàm, hệ thống dây thần kinh xung quanh. Bên cạnh đó còn xác định tình trạng răng mọc ngầm, răng khôn nếu có để lên phương án điều trị thích hợp.
– Chụp X-quang mặt nghiêng: Bác sĩ phân tích góc độ về răng, xương và mô mềm. Sau đó đánh giá sự tương quan giữa hàm trên và hàm dưới, giữa răng với hàm và cả mối tương quan với xương sọ.
Như bạn đã biết, để đạt được kết quả niềng răng tốt nhất, bác sĩ cần có phác đồ điều trị cụ thể với từng trường hợp khác nhau. Thông qua phim X-quang, bác sĩ hiểu rõ đặc điểm xương hàm, độ sai lệch, độ cứng chắc của răng,… Những điều này nếu chỉ khám thông thường thì không thể phát hiện một cách chính xác. Chỉ khi chụp phim X-quang, hình ảnh truyền tới chân thực, chính xác từ miệng, ngoài mặt, dấu hàm. Bác sĩ dựa vào đó mới đưa ra nhận định đúng về tình trạng răng, hướng dịch chuyển của răng sau khi niềng.
Chụp phim X-quang cũng là một cách để bác sĩ lưu thông tin về tình trạng răng và xương hàm của người niềng răng một cách tốt nhất. Nhờ hình ảnh phim X-quang trước và sau, cả bác sĩ và bệnh nhân đều thấy rõ sự dịch chuyển của từng chiếc răng trong quá trình chỉnh nha. Như vậy, chụp phim X – quang khi niềng răng là chỉ định quan trọng, chỉ định bắt buộc nhằm hỗ trợ bác sĩ tối ưu cho công đoạn về sau.
Quy trình chụp phim niềng răng

Nếu đang tò mò quy trình chụp phim niềng răng được thực hiện như thế nào thì dưới đây là đầy đủ các bước nhé.
– Trường hợp bạn đã chụp phim X-quang trước đó thì chỉ cần mang phim hoặc bản sao ảnh X-quang cho bác sĩ là được.
– Trường hợp bạn chưa chụp phim X-quang: Bạn được mặc áo chì hoặc đeo tạp dề chì để tránh tác động của tia X tới các bộ phận trên cơ thể.
- Bước 1: Các kỹ thuật viên sẽ hướng dẫn bạn cách đứng, tư thế đứng sao cho phù hợp.
- Bước 2: Bạn sẽ được ngậm miếng bìa cứng hay bìa nhựa. Bìa này có tác dụng để giữ phim X-quang khi chụp. Máy chụp X-quang sẽ sử dụng máy ảnh bao quanh đầu và chụp hình răng khi ngồi hoặc đứng.
Ngoài máy chụp phim X-quang, hiện nay một số địa chỉ nha khoa đã ứng dụng công nghệ mới nhất, ví như máy Vatech Pax-i hay máy iTero 5D. Đặc biệt, máy iTero 5D có nhiều ưu điểm vượt trội như: lấy dấu răng kĩ thuật số chỉ 60s, nhẹ nhàng và nhanh gấp 3 lần so với phiên bản cũ, hỗ trợ bác sĩ minh hoạ sự dịch chuyển của răng và kết quả điều trị trực quan theo mỗi phương án chỉnh nha với phần mềm Clincheck, nhanh chóng phát hiện mọi bệnh lý răng miệng mà phim X-quang chưa thấy được ngay… Những công nghệ mới này cũng ít tia bức xạ hơn so với X-quang truyền thống, lưu trữ dữ liệu nhanh chóng, chính xác.
Chụp phim niềng răng cần lưu ý điều gì?
Dù là phương pháp đơn giản, không mất quá nhiều thời gian, không ảnh hưởng đến sức khỏe nhưng khi thực hiện, bạn cần lưu ý một số vấn đề:
– Khi chụp phim niềng răng nên giữ tâm lý thoải mái nhất.
– Bỏ trang sức, kim loại trên người xuống và nghe theo chỉ dẫn của bác sĩ.
– Mặc áo chì để hạn chế sự tiếp xúc trực tiếp giữa tia X với cơ thể.
– Với đối tượng là người đang mang thai: Hãy thông báo cho bác sĩ để có phương án phù hợp. Theo khuyến cáo, phụ nữ mang thai chỉ nên chụp X-quang răng hoặc các bộ phận khác khi thực sự cần thiết, không được lạm dụng để tránh ảnh hưởng đến sự phát triển của thai nhi.
– Với đối tượng là trẻ em được yêu cầu chụp phim X-quang để kiểm tra các vấn đề bệnh lý của răng, xem quá trình mọc răng hoặc hỗ trợ cho quá trình chỉnh nha của trẻ. Lúc này, cha mẹ có thể yên tâm vì trẻ sẽ được đeo các dụng cụ bảo vệ bằng chì để hấp thu các tia X tán xạ, hạn chế sự ảnh hưởng tới sức khỏe của trẻ.
Chụp phim niềng răng đóng vai trò quan trọng để chẩn đoán, điều trị các bệnh răng miệng cũng như chỉnh nha cho cả người lớn, trẻ em. Bạn không cần phải lo lắng tới việc chụp X-quang có hại hay không, vì nếu không chụp với tần suất lớn thì không thể gây hại được tới sức khỏe. Ngoài ra, như đã trình bày ở trên, các nha khoa uy tín sẽ đầu tư thiết bị hiện đạ nhất giúp hạn chế sự ảnh hưởng của tia X.
Chụp phim niềng răng có đau không?

Có người chưa chụp phim niềng răng bao giờ cảm thấy hơi lo lắng không biết chụp phim niềng răng đau không. Thực tế, quá trình chụp X-quang diễn ra nhanh chóng và rất đơn giản, cũng không đau. Thời gian chỉ mất khoảng 5 phút. Lưu ý trong lúc chụp, bạn cần nhắm mắt, thả lỏng cơ thể, không nên căng thẳng quá để chất lượng phim chụp được rõ nét. Từ đó quá trình chẩn đoán của bác sĩ cũng dễ dàng với kết quả chính xác hơn.
Đọc thêm: Đeo mắc cài kim loại có đau nhiều không? Giảm đau thế nào?
Chụp phim niềng răng có an toàn không?
Chụp X-quang mang đến rất nhiều lợi ích. Nhưng vẫn có một số người tỏ ra lo ngại vì sợ tia X sẽ ảnh hưởng đến sức khỏe.
Về bản chất, tia X có thể gây ra nhiễm xạ và ảnh hưởng tới sức khỏe nếu bạn tiếp xúc nhiều, thường xuyên. Tuy nhiên trong ngành Y, nhất là nha khoa thì lượng tia X được sử dụng rất nhỏ và đã được kiểm soát trong giới hạn cho phép. Do vậy, việc chụp phim niềng răng không nguy hiểm chút nào.
Ngoài ra, bạn còn được mặc áo chì, phòng chụp có vách chì giúp hấp thu tối đa các tia tán xạ. Khi thực hiện, kỹ thuật viên cũng hiểu rõ cường độ chụp, thời gian chụp ngắn để hạn chế tối thiểu sự nhiễm tia.
Vậy là mọi người đã hiểu rõ hơn về chụp phim niềng răng có công dụng ra sao, quy trình thực hiện như thế nào. Với sự chỉ dẫn của các kỹ thuật viên và bác sĩ, chụp phim diễn ra an toàn, nhanh chóng, chính xác nhất nhé!





