Chlorhexidine là một trong những thuốc sát khuẩn được sử dụng rộng rãi nhất trong nha khoa hiện đại nhờ hiệu quả kháng khuẩn mạnh
Chưa được phân loại
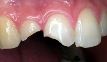
Răng cửa bị mẻ – như thế nào thì trám được?
Răng cửa bị mẻ là tình trạng rất nhiều người gặp phải, có thể do tai nạn, cắn đồ cứng hoặc sâu răng lâu ngày. Chỉ một vết mẻ nhỏ ở

